Insólito: Un hombre que se quejaba de dolores de cabeza persistentes tenía huevos de gusano viviendo en su cerebro

Escrito por Redacción Pereira Último Minuto , 09 de Marzo de 2024. Guardado en Internacional

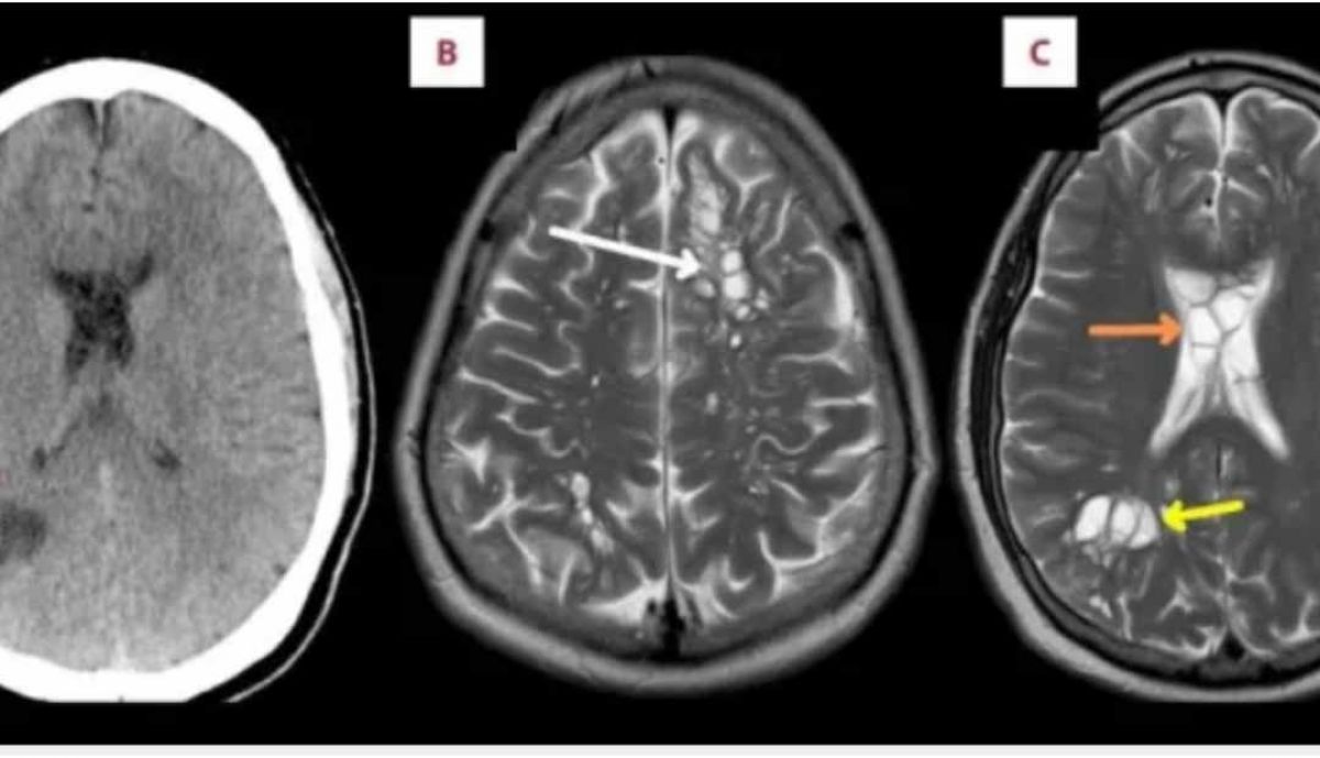
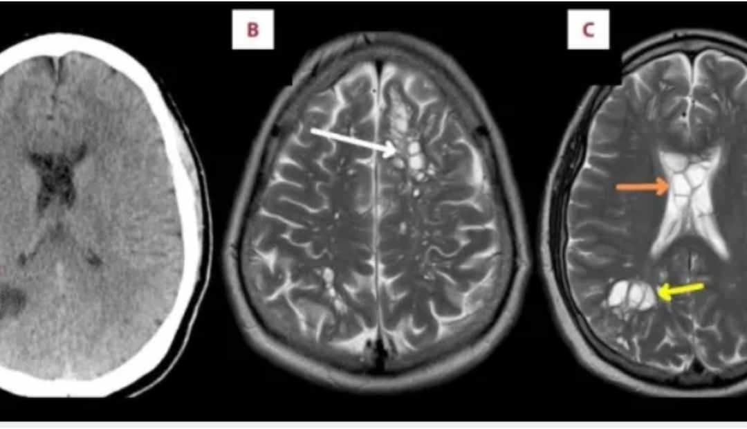
Un paciente de 52 años en la Florida, Estados Unidos, fue al médico por migrañas crónicas que cada vez eran más frecuentes y los medicamentos que usaba ya no funcionaban. Al hacerle exámenes las imágenes fueron sorprendentes: tenía múltiples quistes en ambos lados de su cerebro que resultaron ser huevos de gusano; la causa de la hinchazón de su cráneo.  

Se cree que los huevos fueron el resultado de comer tocino poco cocido infectado, ya que el hombre les dijo a los médicos que a menudo comía "tocino blando."  Los doctores sospechan que, a través de un lavado de manos inadecuado, estos huevos volvieron a entrar en su cuerpo y viajaron a través del torrente sanguíneo hasta su cerebro, según el informe. 

El hombre se encuentra en tratamiento, pero los médicos advierten que este podría ser un problema de salud pública, pues es contagiable si no se lavan bien las manos y a través de los alimentos. 

¿Te Gusto Este Artículo? Compartelo ahora!

Whatsapp Whatsapp

Etiquetas


Stats Pixel

¿Quieres leer un poco más?